Thursday, April 1, 2010

cRaZy LoVe!


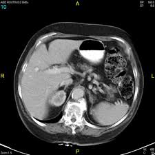
We had an appointment yesterday morning with the Oncologist to get the results of Nick's CT Scan. A few years ago Nick had a lump on his collar bone and after a biopsy they found he had Hodgkin's Lymphoma. He had another surgery to have some lymph nodes removed from under his arm pit and underwent a month of radiation therapy. Yesterday we found out that the scan was NEGATIVE (only in the medical field is negative a good thing) this means that Nick is 4 YEARS CANCER FREE!


As if the day couldn't get any better, last night we went to the Michael Buble Concert! Unfortunately the camera battery was dead so I didn't get any pictures :( but IT WAS TOTALLY AMAZING!! His voice is even better live. He was so humble and down to earth and you could feel how passionate he is about his music. Nick was such a good patient husband to sit next to me the entire time I'm screaming and giggling. I know I'm a married woman but Michael Buble MAKES MY HEART MELT!

2 comments:

  1. Congratulations!!! Cancer free is a good thing. This will help you all sleep better at night. Thanks for joining us the other day for pizza, it was fun! Your blog is amazing, I wish mine was as pretty as yours.

    ReplyDelete